MENU
診療メニュー
矯正治療
お口の中、骨格を確認した後に当院で対応可能か判断します。またご希望がありましたら当院から矯正専門医へのご紹介も可能です。
小児矯正
顎の成長を補助する装置(拡大装置)や癖を正す装置、ワイヤーを用いた装置等を使いながら永久歯がきちんと生えるためのスペースを作ることを目的としています。
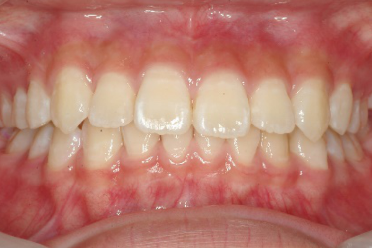
拡大装置装着直後
徐々に乳歯が永久歯に生え変わり
最後の仕上げはワイヤーを使用
小児矯正完了時
上顎が小さく歯並びが悪くなっていましたが拡大装置で上顎の成長を助け、仕上げのワイヤー矯正できれいな歯並びとなりました。
成人矯正
マウスピース矯正(インビザライン)
インビザラインとは、マウスピースを用いた矯正治療です。1998 年にアメリカで開発されて以来、100 か国以上に普及しています。
透明なマウスピースを使用する為周りから矯正治療中であることを気づかれにくく、装置をつけているときの違和感が少ない事が特徴です。
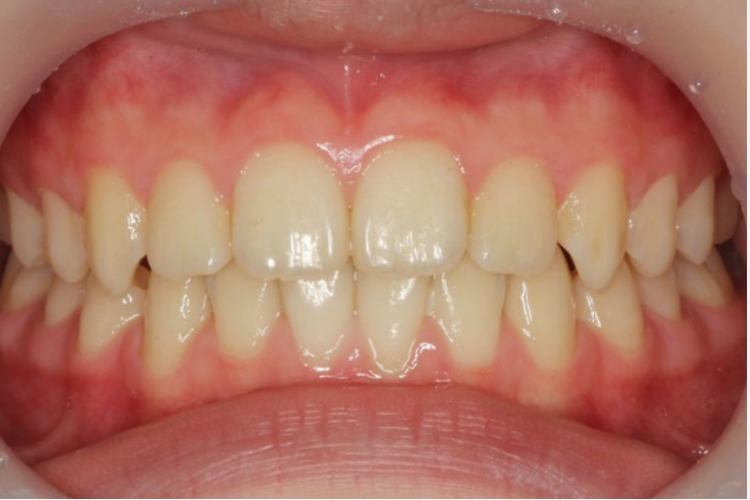
治療前
インビザライン装着直後
治療終了時
前歯の隙間が気になるとのことで来院されましたが、治療後にはしっかり前歯がかみ合っています。
ワイヤー矯正(ブラケット矯正)
お口の中にワイヤー固定装置を取り付けワイヤーによって歯を動かす方法です。


