MENU
診療メニュー
審美治療
セラミック・ジルコニア修復
自然な歯の色に近い材料であるセラミック素材や強度のあるジルコニアを使用した審美的な治療方法です。
保険適応ではありませんが、アレルギーリスクもないため、身体に優しい治療方法ともいえます。

前歯

前歯

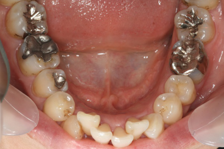
奥歯(臼歯)

奥歯(臼歯)
強度が必要な場合は金属で補強したセラミックを使用する場合もあります。
自然な歯の色に近い材料であるセラミック素材や強度のあるジルコニアを使用した審美的な治療方法です。
保険適応ではありませんが、アレルギーリスクもないため、身体に優しい治療方法ともいえます。
前歯
前歯
奥歯(臼歯)
奥歯(臼歯)
強度が必要な場合は金属で補強したセラミックを使用する場合もあります。
053-412-0418
〒432-8002
静岡県浜松市中央区富塚町1864-12
佐鳴湖パークタウン8号棟1F
診療時間 | 月 | 火 | 水 | 木 | 金 | 土 | 日 |
---|---|---|---|---|---|---|---|
9:00-13:00 | ● | ● | ● | ● | ● | ● | - |
14:30-18:00 | ● | ● | ▲ | ● | ● | ▲ | - |
▲…水曜午後は17:00まで、土曜午後は14:00-17:00の診療です。
日曜・祝日は休診日です。
<バスでご来院の場合>
浜松駅②乗り場 広沢・パークタウン行き パークタウン入り口下車(約20分)
静岡県浜松市のくまがい歯科クリニック > 診療メニュー・歯科治療